全球一站式试管婴儿辅助生殖医疗服务平台

试管在线知识星球

专业为试管婴儿而打造,连接一千位试管铁杆星友

200+

成员数量

1年+

运营天数

1700+

知识内容数量

100+

问答

知识星球

试管婴儿骆先生

邀请你加入知识星球,一起学习试管知识

作者:骆先生,试管在线网站主,试管婴儿十余年从业经验,为您试管婴儿的开展保驾护航。

咨询微信: 13357280021
咨询电话: 13357280021
微信扫码加入知识星球

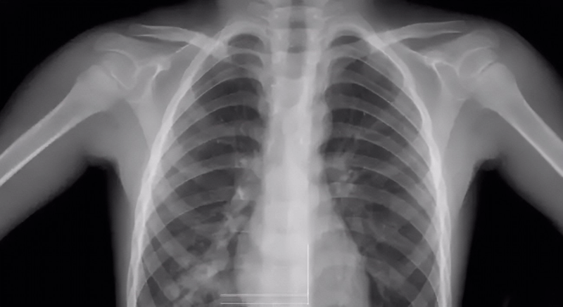
胸透检查

胸透主要检查什么
胸透是一种很常见的x射线检查方法,在医学临床上也会经常用来检查与肺部有关的疾病。但也不是所有的肺部疾病都需要做胸透,毕竟胸透的危害还是有的。此外,若软组织、心脏如果出现异常,通过胸透也能看出一二来,比如胸腔积液、心脏形态的异常等。

做胸透检查的项目非常的多
胸透检查项目:
1、常规检查项目,看心脏,肝脏,肺部,血管有没有出现异常,主要是发现结核病;
2、确诊先天性肺部疾病、心脏的尺寸、肋骨、胸膜、胸骨纵隔、支气管、胸腔积液等;
3、确诊各种肺部疾病包括肺炎、支气管扩张症、肺气肿、肺水肿、肺结核、肺肿瘤等。

不是所有人出现肺部问题都需要做胸透,除了胸透, 还有胸片和ct。然而胸透、胸片和ct的区别是很大的。以及做胸透检查时,有胸透三项或胸透四项等等,在选择时应该根据病症以及医生的建议进行选择。

关于胸透的价格
关于胸透检查的项目其实非常直观,不会是一些疑难杂症,检查手段也可以很快得知,所以胸透本身虽然意义很大,但程序很简单。胸透的价格可以说是低到10元,高至百元,不过对大家来说,可能这都是很容易接受的,毕竟在经济发展的现代城市里,100元已经是非常常见的了。

各地区医院胸透检查费用不一样
胸透不仅在各个地区的价格有所不同,每个医院的价格也有差异,三甲医院的收费相对于其他等级医院的收费肯定会高一些,以及不同城市的三家医院,其费用也会产生差距。但胸透本身的价格并不是很高,所以一般也不会介意其价格的差异,不过明白这其中的差异也是很有必要的。

1 各地区胸透费用

城市地区 胸透价格
深圳 50元左右
贵阳 约60元
广州 100元以上
武汉 100元左右
上海 60元左右

胸透的价格虽然很便宜,但目前很多医院的放射科都不提倡用胸透给病人检查了,首先胸透检查危害是众所周知的,其次他们会用数字化摄影DR来代替,主要原因是胸透的图像无法保存,且现代社会医疗形势也十分严峻,若产生医疗纠纷,做胸透拿不出图像就非常的被动。

2 关于医保报销
现在国家都提倡要普及医保,不管是农村医疗保险,还是事业单位社保,都是几乎可以将所有人的医疗保险容纳进去,再加上胸透检查流程又那么简单,那胸透检查可否用医保呢?其实,胸透检能不能医保报销要分情况而定。

做胸透能不能报销要看具体情况
使用医保的最重要的前提就是进行住院。若是因为疾病做胸透检查并住院,其费用是可以报销的,但没有产生住院,那也是不能进行报销的。胸透最常见的就是各项体检中,若是因为体检进行胸透,那是没有办法报销的。

备孕期间能不能做胸透
胸透,即x射线,其影响说大但是也不够大。很多人在备孕期间也是做了一次胸透,但也成功怀孕并成功的生下健康的宝宝。但是备孕期间胸透检查影响也是无法预估的,每个人的身体条件不一样,其接收到的辐射量也有差别,而对备孕产生的影响也会有所差别。

备孕期间做胸透的影响不可估
备孕做胸透的影响:
1、女性在备孕期间如果做了胸透检查,所产生的辐射可能会对女性的卵细胞造成一定的影响,导致无法怀孕;
2、若女性胸透后怀孕了,其体内的卵细胞受到破坏,在怀孕后很容易出现胎停或者流产等现象;
3、男性做了胸透之后也会有一些残留的物质在身上,也可能会导致精子质量不好等,所以也不会建议做了胸透之后就立马怀孕。

有的女性在备孕期间做了胸透之后就发现怀孕了,即明明已经怀孕,在不知晓的情况下做了胸透。这种情况下孕妈也不要过于着急,只要后期的各项产检都按时做,包括血清学检查、三维彩超、唐筛等,并且各项指标都正常的话,也是没有问题的。

胸透后多久可以备孕
从医学理论上来说,胸透一次的剂量是比较微弱的,但由于备孕男女是特殊情况,建议如果在备孕期间做了胸透,至少要延迟一个月之后备孕。如果还是很担心的话,可以推迟到三个月之后再备孕,这样的话,是非常安全的了。

一般建议胸透检查3个月之后再备孕
女性在备孕期间要注意不能再做胸透检查,一般胸透间隔时间是一年1-2次,如果超出的话,对身体的影响还是很大的,那么造人计划只有无限延后了。除了不能再做胸透检查,备孕期间要吃叶酸,不能随便吃其他药,确保以健康的体态去迎接新生命的到来。

胸透的危害
胸透时的X射线具有很强穿透性,根据人体组织的密度和厚度,每个人做胸透时被接收的辐射量是不一样的,其影响也是有差异的。如果不是必须做胸片,建议可以选择其他方式来代替胸透。

不同群体做胸透的危害有所不同

1、孕妇做胸透的危害
在胚胎发育早期,胚胎组织对各种射线等有害因素是非常敏感的,如果这时候做胸透的话,很容易造成造成流产或胚胎发育畸形等情况。孕中期和孕晚期做胸透的话,极易造成胎儿畸形或早产等,所以孕期是不建议做胸透的。

2、男性做胸透的危害
男性做胸透最长考虑到的一点是对精子的危害,特别是准备备孕的情况下。胸透使用的射线是一种比较危险的辐射,而男性睾丸生精上皮中的精原细胞对射线的敏感性很高,若经过大量的辐射,会使得男性精子数量、质量等都受到影响。如果是在备孕期间做了胸透,建议在3个月之后再进行备孕。

3、新生儿或者儿童做胸透的危害
儿童特别是新生儿正处于生长发育高峰时期,细胞分裂非常活跃,较与成人相比,对X射线更为敏感,如果做胸透、X光、CT等放射性检查,可能造成其部分机体细胞受到损害,引发基因突变导致病变。

4、女性备孕做胸透的危害
女性备孕做胸透的危害和男性备孕做胸透相似,胸透可能会对女性的卵母细胞造成一定的影响,引起卵细胞发生突变等都是有可能的。所以备孕做胸透是非常不可取的,如果一定要做,建议备孕时间推迟3个月左右,是最好的。

除了以上情况,一般做胸透的危害是比较小的,正常成年人做胸透间隔时间一般是1年1-2次即可,这种情况下,危害是非常小的。还有就是哺乳期的妈妈去做胸透也是没有问题的。胸透不会影响或改变奶水的分泌,可以放心的给孩子喂奶。

做胸透注意事项
胸透检查主要是检查肺部是否有积水,炎症,结核等疾病。在做胸透检查之前虽然不用准备很多东西,但是应该在饮食、生活等各方面更加注意,这样才能确保胸透检查结果更准确。

胸透检查注意事项有很多
胸透检查注意事项:
1、胸透前一周不要吃辛辣刺激的食物,避免生气,可以多吃一些蔬菜水果等清淡食物。不喝酒吸烟;
2、做胸透的要求并不多,不需要空腹,胸透当天吃饱饭去做也是不会有影响的;
3、胸透时可以脱掉外套,需要取下身上的所有金属物品,包括内衣上的钢圈,所以不建议当天穿带钢圈的内衣;
4、在做胸透时要注意不要让仪器照到性腺、甲状腺等部位,以免对身体造成影响;
5、检查时患者要尽量靠近荧光屏,减少影像放大和失真;
6、做胸透要做好防护工作,避免x线对身体造成直接的伤害;
7、如果皮肤贴有药膏也要取下才可以进行检查;
8、胸透当天衣着宽松,最好是穿纯棉的衣服;
9、备孕者做胸透要谨慎,做胸透后建议推迟备孕时间。

胸透检查时间
做过胸透的男女性都应该知道,胸透检查方式其实很简单。只要按照医生的指令站在机器面前,医生操作一下,就可以读取数据。通过每个人的人体组织差异形成不同的成像,供医生观察。

而在医生的操作过程中,就是做胸透的时间,整个时间大概控制在15秒左右,如果身体疾病特征明显或完全健康无特征的话,其时间会更短。若出现比较模糊的情况,医生操作的时间可能会稍微延长至30秒,或者更长一些,但都会控制在安全的范围内。而胸透检查结果报告也是非常快的,一般在10分钟左右就能出来。

有的朋友会担心如果胸透的时间太长了会不会对身体有影响。其实胸透对身体的影响是与其剂量有关系的。做一次胸透剂量大概在2-3个msv之间,具体多少和曝光时间有关系。

做胸透一年不能超过几次
胸透是通过X射线穿透人体的胸腔进行检查,是所有通过X线成像的检查方法中辐射剂量最大、照射时间最长的检查方法,所以对于人体的损伤也是最大的,包括对人体的基因以及血液等都会造成影响。

成人每年做胸透的次数不能超过2次
对于成年人而言,一年做胸透的次数最好不要超过2次。而对于小孩或青少年,2-3年或更长时间做一次胸透是最好的。多次做胸透容易影响儿童的生长发育。

做胸透的检查流程
胸透检查属于放射科,做胸透检查前应该事先了解自己想挂哪个科室,然后经过医生诊断后再开具胸透检查单子,做胸透检查是不需要预约的。那胸透检查还有哪些流程呢?其实流程很简单,一步一步来即可。

胸透的检查流程非常简单
胸透检查流程:
1、先到相关的临床科室检查并开具胸透的检查单子;
2、凭检查单到收费处缴纳费用,缴纳费用后会盖章,凭缴费单进行检查;
3、前往放射科指导台处进行登记,登记后一般护士会给一个检查号码,等待系统叫号;
4、系统叫号后会进行姓名,年龄的核对,无误后进入检查室,站上机器,根据医生的指令进行胸透检查;
5、检查完后,在检查室外等候领取报告。

1 胸透检查方式
胸透的检查方式是利用X射线的穿透性、荧光性和摄影效应等特性,使患者的肺部等在荧屏上形成影像。由于人体组织有密度和厚度的差别,所以当X射线穿透人体时,X线被不同程度的吸收了,到达荧屏上的X射线量就有差异,然后形成黑白对比明显的成像,为医生的诊断提供依据。

胸透检查可以查出是否患有肺结核
关于胸透检查方式,很多人都很好奇男女的检查方式是不是一样的,其实,做胸透男女检查的方式都是一样的。不会因为女性特殊一点,就有特殊的检查方法。在检查时,男女身上都会穿着衣服,以及拍出来的成片上显示会有一点点光斑或阴影,但是是不会看到女性的隐私部位的,所以是没有影响的。

2 做胸透检查步骤
胸透检查的步骤其实没有想象中复杂,只是在胸透检查前注意事项非常多,包括在检查前一秒可能需要脱衣服等,因为患者身上不能有金属物品,不能戴项链、耳环,甚至女性内衣上的钢圈,都是会影响到胸透的效果的。

胸透检查不用脱光衣服

胸透检查步骤:

  • 1在检查前几天,保持作息的规律,饮食清淡健康,避免熬夜;
  • 2胸透之前脱去会影响到胸透效果的外套、以及首饰或金属物品,若内衣含钢圈需要提前脱掉,建议不要穿带钢圈的内衣,且胸透时不需要脱光衣服,这点不用太担心;
  • 3人正面站立对着x射线球管,屏住呼吸,双手抱仪器,紧贴仪器;
  • 4在医生指导下可以做深呼吸、深吸气等动作;
  • 5若观察肺底积液时需要仰卧位和站立位结合观察。

关于胸透检查报告

做胸透检查可以查出的项目非常多,它是通过X射线穿透人体的不同层度结合荧光成像来分析人体某部位存在的异常。胸透检查报告的主要内容有:显示肺部是否有疾病、心脏是否有异常、胸膜有无问题、胸壁纵隔、肋骨有无受损、支气管疾病等。

胸透检查结果要仔细分析才能懂
胸透检查报告常见结果分析:
1、两肺未见明显活动性病变:说明肺部非常健康,无病变出现;
2、胸廓无异常,两肺纹理清晰:说明胸部或肺部没有任何异常;
3、两上肺可见斑点状钙化:说明患者以前可能在不知情的情况下得过结核病,但没有发现就自愈了;
4、两肺门影不大:说明肺部和器官都很健康,心脏功能也很正常,若有心脏病,可能会引起肺门水肿;
5、气管、纵隔无偏移:说明颈部和胸腔内没有出现肿瘤或任何异物,如果有肿瘤或异物的话会把气管和纵隔推偏,看起来位置就会发生错位;
6、两肋膈角锐利:说明胸腔内没有积水或渗出液,当出现炎症或结核等病变时会引起积液渗入到胸腔内,使肋膈角变得模糊圆钝;
7、心影形态大小未见明显异常:说明心脏是健康的;
8、膈面光整:腹腔里面的各个小组织没有出现穿孔,因为穿孔会让气体外泄,使膈面下有黑影。

胸透、胸片和ct的区别
大家在去医院检查时,如果涉及到心肝肺某项检查,医生会建议患者做胸透、胸片或ct,但很多患者都拿捏不准,都选择听医生的。医生的建议一般都是最靠谱的,但我们也可以提前了解下,看看它们之间的区别到底大不大。

胸透、胸片和ct区别很大
1、检查方法
胸透,在临床上也被称为荧光透视或胸部透视。胸透的检查项目很多,可以观察到胸部的软组织、骨骼和气管、血管、心脏等的动态影像,但成像会比较模糊。胸片就是胸部的x片,患者直立着,一般在平静吸气下摒气投照,也就是给需要检查的部位拍一张照片。胸部CT与胸片原理相同,但CT采集的数据更多,一次胸部CT扫描可以采集数十张图像,经过处理之后能达到上百张。

2、价格
胸透、胸片、CT三者的价格差异还是比较大的。一般胸透价格在10-100元之间,大部分医院在50元以下。胸片的价格在50-150元不等。而CT的价格是最贵的,胸部CT费用在200-350元之间不等。不同地区、不同医院,其价格都会产生差异。

3、辐射量
胸片检查一次曝光时间为15秒-0.3秒,凶透检查一次曝光时间为15秒左右。而CT的曝光时间大概在30-60秒左右。曝光时间越长,其辐射量就越大,所以,三者在辐射量方面,CT的辐射量是最大的,胸透其次,胸片次之。

4、检查结果
胸透一般可以立马得到检查结果,但检查结果比较模糊,也不能留下检查记录。胸片出结果的时间较胸透长一点,但有图片,留有记录可以对比检查。胸部CT出结果的时间一般都比较长,可能需要1小时或者更长,一般当天都是可以拿到检查结果的。

2025.08.18 20

试管婴儿圈子

提供最具性价比的试管婴儿包成功攻略指南

试管婴儿助孕群
高龄备孕试管群
绝经生育试管群
失独再生育群
试管星球社群
微信扫码加入

试管婴儿百科体系

排名
分类名称
文章数量
1
55篇
2
46篇
3
44篇
4
31篇
5
24篇
6
18篇
7
18篇
8
17篇
9
13篇
10
6篇

试管星友共同好孕

高品质知识社群

试管问题有问必答

微信扫码加入知识星球

微信知识星球社群让您全方面了解试管婴儿技术、流程、费用、成功率、注意事项、防骗等相关信息。

骆先生微信号:13357280021

试管在线知识星球

专业为试管婴儿而打造,连接一千位试管铁杆星友

200+

成员数量

1年+

运营天数

1700+

知识内容数量

100+

问答

知识星球

试管婴儿骆先生

邀请你加入知识星球,一起学习试管知识

作者:骆先生,试管在线网站主,试管婴儿十余年从业经验,为您试管婴儿的开展保驾护航。

咨询微信: 13357280021
咨询电话: 13357280021
微信扫码加入知识星球