全球一站式试管婴儿辅助生殖医疗服务平台

试管在线知识星球

专业为试管婴儿而打造,连接一千位试管铁杆星友

200+

成员数量

1年+

运营天数

1700+

知识内容数量

100+

问答

知识星球

试管婴儿骆先生

邀请你加入知识星球,一起学习试管知识

作者:骆先生,试管在线网站主,试管婴儿十余年从业经验,为您试管婴儿的开展保驾护航。

咨询微信: 13357280021
咨询电话: 13357280021
微信扫码加入知识星球

白带常规

白带常规检查时间

白带常规检查最佳时间是在月经干净后的3-7天左右,在这段时间内女性身体内的雌激素水平相对较高,此时做检查可以准确的查出女性白带分泌物增多的原因,同时在这期间做检查还有利于医生取白带。

女性做白带常规检查既然有最佳时间,那么也就有限制时间,做白带检查的限制时间是要避免月经期、妊娠期,在这两个期间内,女性自身的雌激素水平不稳定,有时高有时低,很难查出女性患有某方面疾病。

  • 一般来说,女性在最佳时间段内做白带常规检查,准确率是相当高的,检查后就不需要再次做了,多次做白带常规对身体伤害还是有,会导致女性阴道松驰,从而影响到性生活质量。

间隔时间

正常的白带常规检查,一般是需要间隔365天后才能做第二次检查,但也要分情况,如果女性做第一次检查后并没有查出问题,但事后发现自己有外阴道瘙痒、下身不舒服的现象,那么则需要去医院让医生安排第二次检查,这次检查最好与第一次间隔1个月最佳。

其实对于白带常规多久做一次这类问题,对于不同体质的女性,间隔时间都是不定的,要看个人身体素质、生活习惯,但间隔时间最好是1年,对于已经确诊患有妇科疾病的女性,也可以每1个月去医院做一次复查,要注意的是,间隔时间不能太短同时也不能过长,不然检查的意义也不大。

白带常规结果解读

白带常规检查单上会标注各个名称例如白细胞、上皮细胞、滴虫、念珠菌、细菌性阴道病唾液酸梅等,以及患者检查出的数据,检查单上的每一项指标都有一个标准范围,通过每一项指标的标准就可以判断女性身体情况。

名称 正常值
PH值 阴道酸碱度可防止病菌在阴道内繁殖正常值为4.5
阴道清洁度 可分为4个级别,1-2级属于是正常级别,3-4级属于是异常白带
霉菌与滴虫 白带检查单上如果出现的是加号,那么则意味着感染了滴虫或霉菌
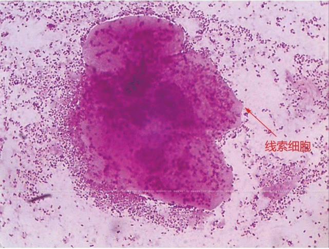
线索细胞 是细菌性阴道炎患者杆菌凝聚在阴道上皮细胞边缘呈颗粒状阳性则为不正常
白细胞 在正常情况下数值显示为2+
上皮细胞 白带在正常情况下这项数值显示的是1+

需要注意的是,在通过检查单判断自己身体情况时,患者需要根据检查单上的每一项进行对比,如果其中有一项存在问题,那么则意味着女性存在炎症,需要进行相关性的治疗。

白带常规能检查出什么疾病

白带常规结果单上会标注有出清洁度、PH值以及菌群感染情况,患者可以通过这些数据判断自己是否患有宫颈炎、菌群失调等症状,如果有这些症状,那么则需要进行相关的治疗才行。

  • 想要读懂白带常规检查单的结果,首先要知道的是这项检查的检查原理是什么,虽然有部分女性通过白带常规检查流程已经知道这项技术是通过检测白带中的成分及含量判断女性是否患有炎症。

其实白带检查的原理并非如此,白带是一种女性阴道分泌物,是由阴道黏膜渗出物、宫颈管及子宫内膜腺体分泌液混合而成,它的形成与雌激素有很大的关系,而雌激素会影响女性月经周期、量和排卵情况等,那么也就是说通过白带检查还可以检查出导致女性月经失调、不排卵等症状的诱因。

白带常规清洁度是什么意思

白带常规清洁度是对阴道分泌物涂片检查的一种方法,通过这项检查可以观察阴道干净程度,确定阴道内是否有特殊的细菌及细胞,一般来说,如果检查清洁度为3或是4度则意味着是阴道炎,女性需要引起重视。

通过清洁度这项数据并不能直接确诊女性存在炎症,还需要结合其它各项检查,例如细菌、滴虫、霉菌这些指标是不是阴性,如果是阴性的话,则意味着女性清洁度高是由于特异性感染所致。

众所周知白带常规能查出的疾病较多,不仅能查出女性是否患有盆腔炎、宫颈糜烂、宫颈炎等一系列妇科疾病,还可以找出女性月经周期异常的诱因,但要想确诊这些疾病,只能过看清洁度是远远不够的,还需要通过检查单上的其它指标判断。

白带常规检查分级标准

临床上对于白带常规清洁度有分级标准,总共可分为四个级别,每一个级别代表着女性阴道内细菌群的大概范围,级别越高意味着细菌群越多,一般来说,清洁度达到3或4级,则意味着女性患有生殖器官方面的炎症。

清洁度级别 分级标准
一度 显微镜下可以看到大量的阴道杆菌以及上皮细胞没有杂菌和白细胞这是正常现象
二度 显微镜下可看到阴道杆菌及上皮细胞,并且有少量的白细胞及杂菌,这是正常的阴道分泌物
三度 有少量的杆菌以及鳞状上皮细胞较多的杂菌,这种现象提示有轻度阴道炎症
四度 没有阴道杆菌,只有少量的上皮细胞,并且有大量的白细胞以及杂菌,这是较为严重的阴道炎症

白带常规检查结果准不准

女性做白带常规也有误差,建议女性最好去正规三甲医院做,避免因医生技术或是医疗设备精密度而影响到检查结果准确率,要注意,选择一家好的医院做白带常规,其检查结果也不一定百分百确定,很多时候如果女性在检查前没有做好白带常规注意事项,那么做检查就会影响到结果。

提高检查准确率方法

做白带常规全整都是医生在操作,所以医生的专业程度决定了结果准确率,特别是化验白带的医生,化验白带是医生通过显微镜等一系列仪器对白带进行检测的,在化验过程中设备仪器也会影响到最终的检查结果。

女性想要通过白带常规准确判断自己是否患有妇科炎症,那么在做检查前就要做好以下3个事项:

  • 1从检查前一周开始要注意自己的饮食,在日常尽量要吃的清淡些,避免吃辛辣刺激性食物;
  • 2合理安排自己的休息和起居时间,避免熬夜,熬夜会影响女性内分泌,从而导致女性下体分泌物增多而影响到检查结果准确率;
  • 3注意私密部位的清洁卫生,平常要多清洗内裤,避免分泌物粘在内裤上产生细菌后进行女性身体内引发感染。

除了以上所述的事项外,女性做白带常规检查时间也有规定,在其它时间做检查,可能会导致检查结果准确率低,特别是在月经期,在这个期间女性雌激素水平较高,此时做检查会导致检查结果不准确。

白带常规费用明细

白带常规检查费用在30-100元左右,各个医院、地区之间存在较大的差异,因此对于这项检查需要多少钱这个问题,并不能准确的为大家解答,一般来说,在比较正规的医院做检查,收费较透明不易上当受骗。

国内正规医院较多,就以华西医院为大家介绍,这所医院对于白带常规检查的收费有一个统一标准,患者做检查时需要以做检查的项目决定最后的收费,各个项目的白带常规检查流程均不同,操作难易度较明显,因此各个项目的收费都不一样。

白带检查各项目收费表如下:

检查项目 项目收费
阴道清洁度检测 由于这项检查比较基础操作难度不大,做检查的流程也比较短所以收费大概是在10元左右
滴虫霉菌检测 这项检测对于医生的操作有一定要求,操作过程中难度还是有,需要有一定经验的医生才能做这项检查,所以这项检测的收费略贵,需要20多
检测阴道菌群 医生在为患者操作这项检查时,由于操作过程花费时间较长,所以费用较高,需要30元
细菌性阴道病 该类检查是比较全面的阴道微生物检测,医生在操作过程中会使用到显微镜等多类仪器,并且还需要反复检测,因此做这项检查的费用更贵,大概要支付100元

以上是正规公立三甲医院做白带常规的检查费用,建议患者最好是选择在这类医院做这项检查,一般来说,这类医院的收费较透明,不会欺骗患者,再加上白带常规检查准确率本身不高,做这项检查需要更精密的仪器,而这些要求只有正规医院才能满足。

白带常规详细流程

女性怀孕后做白带常规最佳时间是在孕初期,刚怀孕不久的女性下体白带分泌物分增多,这是由于怀孕后体内的激素水平会发生改变导致的正常现象,出现这一现象后要谨慎对待,孕妇要去医院做个白带检查排除是由于炎症导致的分泌物增多。

对于绝大多数孕妇而言,也是初次去医院做白带检查,可能并不知道这项检查的相关流程,其实白带检查的流程还是非常简单的,以下通过6个步骤为大家解析白带常规检查的相关流程。

白带检查流程如下:

  • 1首先需要选择一个时间,最好是选择在月经干净后做检查;
  • 2去医院做检查,第一个步骤是去医院挂号;
  • 3挂上号后再到妇科诊室由医生开一个白带检查的单子;
  • 4需要凭借挂号单和白带检查单子到化验科做检查;
  • 5检查前医生会交给女性一个专门的棉棒或者提取器,女性需要自己提取阴道部位的分泌物和白带;
  • 6将提取完成的白带交与医生检测,一般需要过1-3天左右才能出结果。

孕妇通过以上流程做完白带检查后不要立即离开医院,最好是先在医院待上一段时间,有部分医院出结果的时间较短,大概检查后30分钟左右就能出结果,孕妇如果不知道怎么解读白带常规检查单,那么就有时间去医院找医生,通过医生知道自己目前的身体情况。

1 挂号方法

目前有很多医院都开通了白带常规网上挂号服务,相比于传统的线下开单预约,此种方式不仅可以节约时间,还比较方便,但有很多女性可能并不知道怎么预约,以下是预防方法供大家参考。

挂号攻略

  • 1首先需要关注你即将要去做白带检查的医院的微信公众号,进入首页点击门诊服务,更多服务;
  • 2在更多服务里面选择白带常规检查,然后按照要求依次准确填写信息(基本信息)提交即可;
  • 3提交后收到短信通知后就表示预约成功,除此之外还可以在“预约记录”里面查询对应记录。

在微信上预约做白带常规检查,唯一不足之处便是不能第一时间知晓白带常规检查费用,只有去医院后凭借预约码后才能知道做检查需要花多少钱,而如果是线下预约挂号,那么可直接凭借绞费单知道做检查的费用。

2 怎么取白带

做白带检查主要有两类人群,一类是有性生活史的女性,另一类是没有性生活的女性,对于已婚女性医生在为其取白带时通常会使用到阴道窥器和扩阴器,在女性阴道中段分泌物较多的部位取出适量白带。

若是未婚女性出现阴道炎症状,医生在为这类女性取白带时通常是在阴道口用棉签进行刮取阴道壁的分泌物进行送检,正常情况下,这类未婚女性的白带分泌物适中,没有异味。

  • 医生为未婚与已婚这两类女性取白带时不仅取白带的方法不同,这两类女性做白带常规检查流程也不一样,未婚女性可以直接去医院挂号做检查,而已婚女性则需要先去找医生,让医生开一个白带常规的检查单。

通常情况下,取白带需要专业医生操作,虽然取白带女性自己也可以完成,但对于处女而言,自己取白带可能会伤害到处女膜,并且自取白带对于很多女性而言并不知道怎么操作,自取很有可能会因操作不当而导致阴道感染。

白带常规取白带操作步骤简介

  • 1首先医生会使用相关仪器将女性的阴道撑开;
  • 2用干净的棉签在阴道的后部蘸取分泌物;
  • 3将棉签上的分泌物放在试管中送去检测科检查。

3 多久出结果

正常情况下白带常规出结果需要1-3天,当然不同医院之间出结果的时间也不同,一般来说,正规三甲医院出结果的时间会更短一些,三甲医院设备仪器精密度较高,化验过程中并不需要反复的做检查,因此便省下了不少的时间。

白带常规是需要女性将自己下体的分泌物取出,然后将这些分泌物交与医生,医生会通过使用相关仪器检测白带中的成分,以此来排除女性是由于炎症所致的白带分泌物增多。

做白带常规要注意什么

女性做白带常规检查主要是为了排除患有妇科疾病的风险,由于该项检查是通过女性雌性激素分泌而出的白带进行检测的,所以女性在做检查前需要避免一些影响身体雌激素分泌的注意事项。

通常情况下女性只要按时休息,饮食规律,那么就不会影响到体内的雌激素,所以建议女性在做检查前要避免熬夜,同是要合理规律自己每天的就餐时间。当然做了这两点远远不够,另外还需要做好以下几个禁忌事项。

白带常规检查4点禁忌:

  • 1做检查前要避免阴道冲洗及盆浴,冲洗阴道会将部分癌细胞冲洗掉,从而影响到检查结果准确率;
  • 2检查前应避免同房,同房过程女性阴道内的分泌物会增加,同时还有可能会留下男性精液,从而影响检查结果;
  • 3注意饮食,日常要避免吃过油腻,不易消化的食物,不饮酒,不要吃对肝,肾功能有损害的药物;
  • 4避免使用阴道塞药类药物,这类药物可能覆盖切片样本里的异常细胞,从而影响检查结果。

白带检查过程中医生会通过扩阴器将女性的阴部撑开,然后用相关仪器从女性阴道内取出白带分泌物,因此在检查前女性需要注意自己的阴部卫生,同时要禁止性生活,性生活会导致女性阴道分泌异常,从而影响医生取白带。

白带常规清对身体有害吗

白带常规检查过程中,如果女性在检查前没有分泌白带,那么医生可能会使用到扩阴器,将女性阴道扩大,然后使用仪器在刮取少量的阴道黏膜白带分泌物来进行相关检测,通过这个操作步骤来看,做白带常规对女性阴道伤害。

  • 当然如果在检查前女性有自然分泌白带,那么就不会使用到扩阴器,如果是这样的话,那么对女性阴道没有太大的影响。当然有部分女性做白带检查前并不能分泌白带,对于这种情况,医生只能使用扩阴器。

扩阴器对女性阴道松驰度有影响,会导致阴道松驰,从而降低性生活质量,另外,医生在为患者取白带时,还会使用到窥阴镜,这个仪器需要探入到女性阴道内,并在阴道中来回的探查。如果医生在使用窥阴镜时没有对其进行消毒处理,那么仪器上的细菌就会一起被带进女性身体内,加重女性炎症。

白带常规与与tct区别

临床上宫颈tct检查主要运用于检查宫颈细胞是否有变性,这项检查技术与hpv检查常常作为宫颈癌的筛查手段,而白带常规检查则主要用于妇科炎症的检查,检查项目较多,包括有霉菌、白细胞、清洁度等。

白带常规和tct检查区别对比表

种类 理由
费用 做一次白带检查需要花30-100元,而做一次TCT需要花150元左右,不同地区,不同级别的医院收费标准不一
检查项目 白带常规检查项目较多一些包括有霉菌、白细胞、清洁度等,而tct检查主要运用于检查宫颈细胞
出结果的时间 白带常规检查当天做后就能拿到结果,而TCT检查后需要等到1周左右的时间才能拿到结果
检查流程 由于白带检查项目较多,检查时间较长,所以流程会更多一些

从这两项检查的检查项目及目的来看,白带常规和tct检查区别是非常大的,所以这两项检查不可相互替代,在检查过程中需要根据女性自身情况选择合适的检查技术。

2025.08.18 38

试管婴儿圈子

提供最具性价比的试管婴儿包成功攻略指南

试管婴儿助孕群
高龄备孕试管群
绝经生育试管群
失独再生育群
试管星球社群
微信扫码加入

试管婴儿百科体系

排名
分类名称
文章数量
1
55篇
2
46篇
3
44篇
4
31篇
5
24篇
6
18篇
7
18篇
8
17篇
9
13篇
10
6篇

试管星友共同好孕

高品质知识社群

试管问题有问必答

微信扫码加入知识星球

微信知识星球社群让您全方面了解试管婴儿技术、流程、费用、成功率、注意事项、防骗等相关信息。

骆先生微信号:13357280021

试管在线知识星球

专业为试管婴儿而打造,连接一千位试管铁杆星友

200+

成员数量

1年+

运营天数

1700+

知识内容数量

100+

问答

知识星球

试管婴儿骆先生

邀请你加入知识星球,一起学习试管知识

作者:骆先生,试管在线网站主,试管婴儿十余年从业经验,为您试管婴儿的开展保驾护航。

咨询微信: 13357280021
咨询电话: 13357280021
微信扫码加入知识星球